審美歯科
Cosmetics


参宮橋駅前歯科の審美歯科
審美歯科とは美しさに焦点を当てた
総合的な歯科治療を指します。
審美歯科の種類
「歯を白く美しくするホワイトニング」
「矯正による歯並びの改善」
「セラミックやラミネートベニアによる審美治療」
当院では費用や治療期間等、希望を聞き患者様毎に最適なプランを立てていきます。
また、金属を使用しないメタルフリー治療を行っておりますので金属アレルギーが起こる事もありません。
デジタル印象装置(Aoralscan3)
精密な歯型の採得が可能
当院では、口腔内スキャナーAoralscan3を導入しています。
歯型を採る必要がないため、以前よりずっと快適に治療が始められます。Aoralscan3は放射線は使用していませんので被爆の心配はありません。
早くて正確な診察
3Dで歯型を作ることができるので、従来の印象よりも患者様に適した精度の高い詰め物や入れ歯などを作ることができます。

詰め物のご紹介
| セラミック | セラミック素材は基本的に色合いの変化はございません。割れたりしない限りはずっと美しい状態を保ちます。耐久性はセラミックの種類により異なります。それぞれ長所、短所がございます。 |
|---|---|
| ハイブリットインレー | セラミックとプラスチックを混ぜた詰め物になります。セラミックより柔軟性があります。強度があまりないので大きい奥歯には推奨出来ません。 |
| emaxインレー | emaxという強度の高いセラミックになります。強度があるので大きい奥歯にも適用出来ます。 |
| ジルコニアインレー | ジルコニアという強度の非常に高いセラミックになります。透明感はないですが非常に硬いため割れにくいです。 |
被せ物のご紹介
| セラミック | セラミック素材は基本的に色合いの変化はございません。割れたりしない限りはずっと美しい状態を保ちます。耐久性はセラミックの種類により異なります。それぞれ長所、短所がございます。 |
|---|---|
| ジルコニアボンドクラウン | ジルコニアという強度が非常に高いセラミックをフレームにし、見た目が良いセラミックを盛り付けて審美性を高めていった被せ者になります。フレームに強度がありますのでブリッジにも適用出来ます。 主に審美性が求められる前歯に最適な被せ物になります。 |
| フルジルコニアクラウン | ジルコニアという強度が非常に高いセラミックに色を焼き付けて見た目を良くした被せ者になります。ジルコニアボンドに比べ審美性は劣りますが、ジルコニア単体構造ですので審美性よりも強度が求められる奥歯に最適な被せ物になります。 |
| e-maxクラウン | emaxという強度が高いセラミックに色を焼き付けて見た目を良くした被せ物になります。ジルコニアと違い透明感があるのが特徴です。土台がきれいな状態であれば透明感を活かして自然な歯の感じを出す事が出来ます。 ジルコニアほどではないですが強度もあるので奥歯にも使えますがブリッジには強度不足で使用出来ません。 |
審美歯科 症例集
審美歯科治療の症例をご紹介します
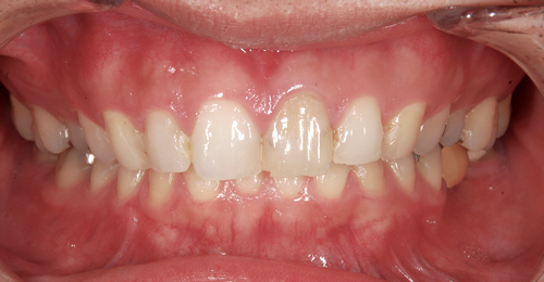
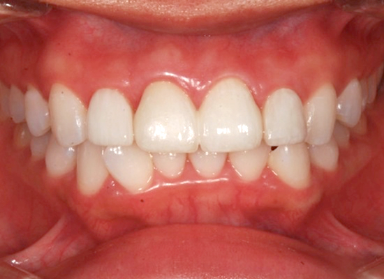
症例1. セラミック
セラミック修復
ジルコニアボンド2本:30万、ラミネートベニア2つ:20万+歯周外科5万=55万+Tax
1枚目:真ん中の歯が大きいのが嫌でどうにかしたい。とのことでした。
2枚目:ただ小さくすると短くバランスが悪くなるので歯周外科処置をして真ん中2本の歯茎を下げる手術をしました。
3枚目:セラミックを被せバランスをとる為に両サイドの歯にはセラミックのラミネートベニアを張りました。下の歯が見えるくらいに歯が小さくバランス良くなりました。
症例2. セラミック
前歯6本をセラミッククラウンと
ブリッジで直した症例
メタルボンドクラウン6本:60万、ソケットプリザベーション5万+Tax
1枚目:左上が一本抜歯した状態です。歯茎が下がらないように人工骨を入れる等してなるべく歯茎を温存します。
2枚目:ブリッジの部分も自然で歯がないのが分かりづらくなるように仕上がります。
メタルボンドだとどうしても歯茎付近が若干暗くなります。オールセラミックにするとより綺麗に仕上がります。
症例3. セラミック
黒いラインが見えている左犬歯の
古い被せ物をやり直したケース
ジルコニアボンド15万+Tax
1枚目:左上の古いセラミックの被せ物の際が黒く目立っている。
2枚目:黒いラインがなくなり綺麗な状態になっている。当院ではこのようなケースでも長く黒いラインが出ないように審美的に修復する事が可能です。
症例4. セラミック
前歯二本の保険の被せ物を
セラミックで修復したケース
ジルコニアボンド2本:30万+Tax
1枚目:先ほどのケースと同じで際が黒くて審美性が悪い
2枚目:歯茎の黒さは改善され色も他の歯と調和がとれている。
症例5. セラミック
神経が死んでしまい変色してしまった歯を
セラミック修復したケース
ジルコニアボンドクラウン:15万+Tax
1枚目:左上の前歯が他の色と比べて暗くなっている。
2枚目:神経の治療をし、土台を立てセラミックで被せた状態です。
症例6. セラミック
奥歯の銀歯を
セラミックインレーで直した症例
Emaxインレー4本:18万円+Tax
1枚目:奥歯に銀歯が詰めてあり、口を開けた時に見えるので白い物に変えてほしいとのことでした。
2枚目:セラミック(Emaxインレー)が綺麗に入っています。印象が大きく変わります。
症例7. セラミック
全ての銀歯をセラミック修復で
メタルフリーにしたケース
ジルコニアクラウン3本:45万、Emaxインレー8本:36万=81万+Tax
症例8.ガムピーリング
薬液を用いたガムピーリングで
歯茎の黒ずみを直したケース
1回5000円+Tax
1枚目:歯茎が黒ずんでいるのが分かります。
2枚目:表面麻酔をし薬液を付けると黒いところが白くなります。その後数日〜1週間ほどで剥がれていきます。
3枚目:約1〜2週間後です。この患者様は1回でなりましたが人によっては何回か施術する事が必要になります。
症例9. セラミック
全ての銀歯をセラミック修復で
メタルフリーにしたケース
治療費用:
Emaxインレー9本 49500円(税込)/本
ジルコニアインレー2本 66000円(税込)/本
ジルコニアクラウン(無垢)3本 77000円(税込)/本
Total:731500円(税込)
治療期間:患者様の希望で一本ずつ白く変えていき、約1年間かかりました。
症例10. セラミック
全ての銀歯をセラミック修復で
メタルフリーにしたケース
治療費用:
Emaxインレー2本 49,500円(税込)/本
ジルコニアクラウン(無垢)1本 7,7000円(税込)/本
ジルコニアボンドクラウン1本 165,000円(税込)/本
Total:341,000円(税込)
小さいものであれば保険適応のレジンで対応できることもあります。
治療期間:約2ヶ月
症例11. セラミック
+ホワイトニング
全ての銀歯をセラミック修復で
メタルフリーにし、
ホワイトニングしたケース
治療費用:
Emaxインレー4本 49,500円(税込)/本
フルジルコニアクラウン(無垢)1本 110,000円(税込)/本
ジルコニアクラウン(無垢)1本 77,000円(税込)/本
ジルコニアインレー7本 66,000円(税込)/本
ジルコニアボンドクラウン3本 165,000円(税込)/本
デュアルホワイトニング 38,500円(税込)
Total:1,380,500円(税込)
+その他保険治療
症例12. ダイレクトボンディング
前歯の正中離開に対するダイレクトボンディング
歯を削らずに隙間を埋めることができます。
治療費用:
ダイレクトボンディング2本 44,000円(税込)
所用時間:約1時間
料金表
詰め物の料金
| ハイブリッドセラミック | ¥35,000 +tax |
|---|---|
| Emax | ¥45,000 +tax |
| ジルコニア | ¥60,000 +tax |
被せ物の料金
| ジルコニア(無垢) | ¥60,000 +tax |
|---|---|
| Emax | ¥80,000 +tax |
| フルジルコニア | ¥100,000 +tax |
| メタルボンド | ¥120,000 +tax |
| ジルコニアボンド | ¥150,000 +tax |
ラミネートベニア
| ラミネートベニア | ¥100,000 +tax |
|---|
治療後のリスク:後戻りが考えられます。審美歯科治療は、破折、色調の再現に限界があります。









